920685
SCIENTZ08-IIID非接觸式超聲波DNA打斷儀采用等溫、非接觸的方式對樣品進行打斷和混合,用于無菌、可超微量破碎,隔著離心管能打斷染色體。專為二代測序DNA樣本與染色質免疫共沉淀實驗樣本前處理量身訂做,對于每天要處理多個樣品或者貴重樣品的實驗室,它具有處理高通量,樣本低損耗,無交叉污染等優勢。逐漸成為ChIP(染色質免疫共沉淀)和DNA剪切研究平臺不可缺少的標準化工具。
SCIENTZ08-IIID超聲波DNA打斷儀采用在水槽安裝超聲波發生裝置的設計,傳統的探頭式超聲波引起的微流動現象和超聲波空化效應只能在靠近探頭的區域出現,單位面積的超聲強大但超聲輻射面小,而非接觸式超聲波DNA打斷儀由于在水槽安裝了超聲波換能器,使水槽完全處于超聲波的作用范圍內,超聲作用分布廣泛而均衡,降低了泡沫的形成。在實驗過程中,SCIENTZ08-IIID超聲波DNA打斷儀自動的連續旋轉離心管則使超聲波的能量分布更為均勻。
SCIENTZ08-IIID超聲波DNA打斷儀在實驗過程中,樣品分別置于獨立的全密封離心管中,樣本之間不存在任何交叉污染,避免了氣霧的傳播,增強了實驗的生物安全性。


? 數顯屏幕 4.3英寸醫用級電阻觸摸屏
? 智能儲存 可儲存50組實驗數據
? 低噪音 采用靜音設計,噪音等級小于55dB
? 報警功能 超電流、超電壓、超溫報警功能
? 模式可選 間隙/連續脈沖模式
? 參數靈活 超聲時間,功率連續可調,穩定性好

· 適用于細胞破碎
· 蛋白質提取
· 包涵體提取
· 微量乳化
· DNA片段化
· 染色質免疫共沉淀等多個領域
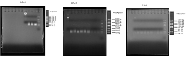
DNA打斷bp范圍可達200bp及以下,樣品體系分別在100ul、200ul和500ul。

| 型號 | SCIENTZ08-IIID |
| 樣品管規格 | 0.1ml-15ml |
| 顯示方式 | 4.3英寸醫用級電阻觸摸屏 |
| 顯示功能 | 工作參數時間、溫度、功率 |
| 工作模式 | 間隙/連續模式 |
| 超聲總時間 | 0.1s-9999min,可調 |
| 工作時間 | 0.1s-99.9s,可調 |
| 間歇時間 | 0s-99.9s,可調(設置0為連續模式) |
| 功率可調 | 1-100% |
| 超聲槽容積 | 300*150*100mm |
| 超聲樣品體積 | 2ml以上或5ul以下 |
| 標配適配器 | 32*0.1ml*3組,20*0.65ml*3組 |
| 樣本處理量 | 32*0.1ml*3組,20*0.65ml*3組,11*2ml*3組以及5個5-15ml離心管*3組 |
| 適配器材質 | 316不銹鋼材質 |
| 噪音等級 | <55dB |
| 冷卻系統 | 便攜式恒溫槽主機(壓縮機制冷) |
| 溫控范圍 | 2-40℃ |
| 溫度顯示精度 | 0.1℃ |
| 壓縮機制冷功率 | 600W |
24小時服務熱線 18106650612