市場服務熱線
0574-88350052

在生物學研究中,除了某些細胞外的多肽激素和某些蛋白質與酶以外,經常會對細胞或組織進行破碎處理,使生物大分子充分釋放到溶液中,來獲得細胞內的物質且不喪失生物活性。由于細菌、酵母、真菌、植物都有細胞壁,但成分不同,且同類細胞結成的網狀結構不同,因此其細胞壁的堅固程度不同,總體呈現遞增態勢。動物細胞雖然沒有細胞壁,僅具有細胞膜,也需要一定的細胞破碎方法來破膜,達到提取產物的目的。

超聲破碎是目前在生物生產中最常用的破碎方法,其利用超聲波在液體中的空化效應,使液體產生空化泡,從而使液體中的固體顆粒或細胞組織破碎,被廣泛用于生物化學、微生物學、藥理學、物理學、動物學、農學、醫學、制藥等領域的教學、科研及生產。
新芝作為國內超聲波技術應用探索的先行者,設計有多款超聲粉碎提取系列供不同實驗需求選擇。
以下是SCIENTZ-IID超聲波細胞粉碎機、SCIENTZ08-IIIC非接觸式超聲波細胞粉碎機操作實例分享
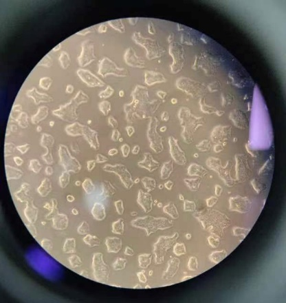
01
未處理樣品顯微圖

(1ml濃度為10^6/ml的動物細胞溶液)
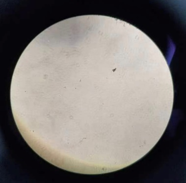
02
處理后樣品顯微圖
? SCIENTZ-IID超聲波細胞粉碎機
設置參數:功率100W,頻率20kHz,程序控制超聲2s間歇2s,總時長5min

(1ml濃度為10^6/ml的動物細胞溶液)
? SCIENTZ08-IIIC非接觸式超聲波細胞粉碎機
設置參數:功率700W,頻率20kHz,程序控制超聲10s間歇15s,總時長30min

(1ml濃度為10^6/ml的動物細胞溶液)
結論/ conclusion
采用超聲波細胞粉碎機,高強度能量釋放,單個樣品處理快速;對于單批多個樣品,可以采用非接觸式超聲波細胞粉碎機,單次處理12份樣品,綜合處理時長約為接觸式的二分之一,高通量、高效率。
? SCIENTZ08-IIIC非接觸式超聲波細胞粉碎機


? SCIENTZ-IID超聲波細胞粉碎機

企業抖音號
企業公眾號新芝生物專業研發生產超聲波細胞粉碎機、超聲波清洗機和超聲波細胞破碎儀等各種科研實驗儀器與工業化生產設備
Copyright ? 2018-2024 m.bjmb500.cn All Rights Reserved. 網站地圖 XML 舊版首頁
浙ICP備12028246號-1 互聯網藥品信息服務資格證書:(浙)-非經營性-2018-0084
浙公網安備 33020902000538號 技術支持:和眾互聯